Discovering Medical Imaging and Radiation Therapy

The Science Behind the Technology

The Science Behind the Technology

Find out how radiologic technology and radiation therapy work.

How Do Radiologic Technology Procedures Work?

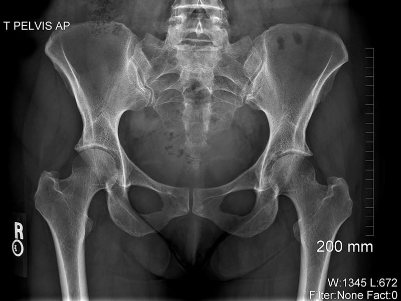
X-rays are a type of radiation. They’re an energy source similar to light, but they have a much shorter wavelength and can pass through the human body. As x-rays pass through the body, some energy particles called photons are absorbed, and some pass all the way through. The parts of the body made up of dense material, such as bone, show up as white areas on an x-ray image (the image itself is called a ​radiograph). The less dense parts, like the lungs, show up as darker areas.

X-ray of pelvic

X-ray

Image © ASRT

 

Computed tomography procedures use a rotating x-ray unit that takes hundreds of images of a body part in just a few minutes. The CT scanner obtains images of thin slices of anatomy at different levels throughout the body. A computer then stacks the slices and assembles them into one image.

CT head scan / Image © ASRT

CT head scan

Image © ASRT

 

Cardiovascular-interventional procedures use sophisticated imaging techniques to help guide catheters, filters, stents, or other tools or devices through the body. Using these methods, diseases can be treated without surgery.

Cardiovascular-interventional image / Image © ASRT

Cardiovascular-interventional image

Image © ASRT

 

During a magnetic resonance imaging scan, atoms in the patient's body are exposed to a strong magnetic field. The technologist applies a radiofrequency pulse to the field, which knocks the atoms out of alignment. When the technologist turns off the pulse, the atoms return to their original position. In the process, they give off signals that are measured by a computer and processed to create detailed images of the patient's anatomy. Medical radiation isn't used in MR procedures.

Magnetic resonance image of head / Image © ASRT

Magnetic resonance image of head

Image © ASRT

 

Sonography also doesn’t use medical radiation. It uses sound waves to produce an image. A transducer sends high-frequency sound waves to the area being imaged. As those sound waves bounce off organs and tissues, they send back an echo. Computer equipment converts those echoes into visual data. 

Sonograph image / Image © ASRT

Sonograph image

Image © ASRT

 

Nuclear medicine procedures administer tiny amounts of radiopharmaceuticals to a patient to obtain functional information about organs, tissues and bone. A special camera is used to detect gamma rays emitted by the radiopharmaceuticals and create an image of the body part under study. The information is recorded on a computer screen or on film.

This is a transaxial slice of the brain of a 56 year old patient (male) taken with positron emission tomography (PET) / Image © Jens Maus, Public Domain

Nuclear medicine imaging

Image © Jens Maus, Public Domain

 

Radiation therapy is the primary tool to target tumors inside patients’ bodies. As the radiation strikes human tissue, it produces highly energized ions that gradually shrink and destroy the nucleus of malignant tumor cells. However, it’s targeted so it doesn’t damage the surrounding tissue.

Radiation Therapy / Image © ASRT

Radiation therapy

Image © ASRT

Natural vs. Man-made radiation

Every living thing on earth is constantly bombarded by radiation from space. Charged particles from the sun and stars interact with the Earth’s atmosphere and magnetic field, exposing us to radiation — typically beta and gamma radiation. Radioactive material is also found throughout nature. Low levels of radiation are found in the soil, water and vegetation. Man-made radiation can be found in medical imaging and radiation therapy equipment, tobacco, building materials, combustible fuels, ophthalmic glass, televisions, luminous watches and dials, airport x-ray systems, smoke detectors, road construction materials, electron tubes, fluorescent lamp starters, lantern mantles and a number of other products. Medical imaging exams are the largest source of Americans’ exposure to man-made radiation.

Manmade & Natural Radiation

Chart of man-made and natural radiation

Image © ASRT

On average, x-ray room walls have lead lining that’s 1/16-inch thick. That’s thinner than an iPhone 6.

  • X-ray room wall thickness / © ASRT
    X-ray room wall thickness / © ASRT

top